Percer les secrets de l’IRM

Aurélien et Stenzel, tous deux diplômés d’une école de Grenoble INP et en première année de thèse au Grenoble Institut des Neurosciences, travaillent sur des thématiques liées à l’IRM.
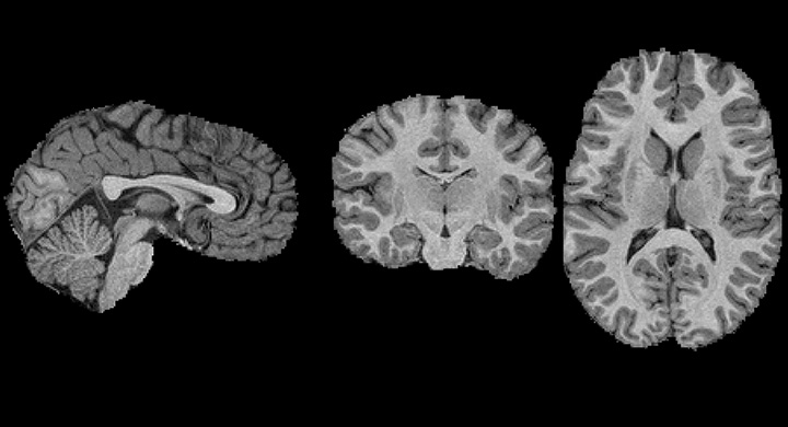
L'imagerie par résonance magnétique (IRM) est une technique d'imagerie médicale permettant d'obtenir des vues en deux ou en trois dimensions de l'intérieur du corps de façon non invasive avec une résolution en contraste relativement élevée. Cette technique fait l’objet d’améliorations permanentes grâce aux travaux de nombreux chercheurs dont Stenzel Cackowski et Aurélien Delphin, respectivement diplômés de Grenoble INP – Ensimag et Grenoble INP – Phelma, qui effectuent tous les deux un doctorat au Grenoble Institut des Neurosciences (GIN).
aurelien et stenzel


De nouvelles séquences d’IRM


Après son diplôme d’ingénieur, Aurélien Delphin est entré au GIN pour se rapprocher du domaine médical qu’il affectionne tout particulièrement. Le but de sa thèse est de définir un protocole de fonctionnement de l’IRM pour mettre en évidence l’oxygène présent dans le cerveau des patients, en un temps le plus court possible. « L’oxygène est un marqueur majeur de certaines pathologies cérébrales, telles que les tumeurs ou les AVC », explique le doctorant.

Pour comprendre, il faut rappeler que le principe de l’IRM consiste à envoyer des impulsions d’ondes électromagnétiques (radiofréquences, RF) dans le corps des patients. L'énergie de ces ondes RF est captée par les atomes d'hydrogène présents dans les tissus (ils entrent en résonnance). Cette énergie est ensuite libérée sous forme d'un signal observable. « Tous les atomes ne restituent pas leur énergie de la même façon en fonction de l'endroit où ils se trouvent : eau, matière plus dure, etc. On utilise également des champs magnétiques pour guider ce phénomène afin de modifier le signal selon nos besoins. » Chaque « séquence » (trains d’impulsions RF et de champs magnétiques) permet d’obtenir une image qu’il faut ensuite traduire en paramètres biologiques.

Pour cela, on choisit une liste des paramètres biologiques que l’on est capable de simuler, puis on leur attribue différentes combinaisons de valeurs possibles. Pour chacune d’elle, le résultat théorique de l’IRM est simulé puis comparé à celui réellement obtenu. Une fois identifiée l’acquisition simulée la plus proche de la réalité, il est possible de remonter à la valeur de chacun des paramètres biologiques de départ. « Le but de mon travail est de trouver la séquence d’impulsions et de champs magnétiques à envoyer dans le corps du patient qui permette de remonter le plus efficacement possible au taux d’oxygène dans le cerveau. » A terme, la réduction du temps d’acquisition de quelques dizaines de minutes à moins de cinq minutes, devrait faciliter la prise en charge de patients en urgence dans le cas d’AVC.
 

Harmoniser les images d’une machine à l’autre

De son côté, Stenzel Cackowski, qui effectue sa thèse dans le cadre d’un financement par le MIAI*, travaille sur le diagnostic des déficiences intellectuelles chez l’enfant par imagerie. Pour cela, il étudie des données provenant de différents centres, ce qui le place face à une première difficulté. « Si une même personne fait une IRM sur deux sites différents, les images obtenues ne seront pas les mêmes, rendant difficile toute comparaison des données entre elles, explique le jeune chercheur. Avant toute chose, il est donc nécessaire de se débarrasser du bruit intrinsèque à chaque machine et algorithme de traitement d’image. »

Pour y parvenir, Stenzel développe des outils d’intelligence artificielle visant à harmoniser les images produites par les IRM. « Les histogrammes d’intensité des scans, par exemple, qui répertorient les valeurs apparaissant le plus souvent, doivent être les mêmes d’une machine à l’autre. » Une fois que cela sera fait, le jeune chercheur se concentrera sur la détection de déficience du développement intellectuel d’enfants à partir d’anomalies anatomiques (volumes, épaisseur des tissus …) en fonction de leur âge. Mais les outils d’harmonisation des images pourront être appliqués à bien d’autres types d’imagerie médicale : scanner, radio… A suivre !

* Multidisciplinary Institute in Artificial Intelligence

Contact

Recueil d'articles